Dental Smile Gallery in Ocean NJ

Dentistry Before and After Photos

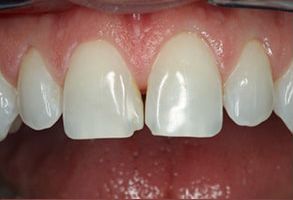
before

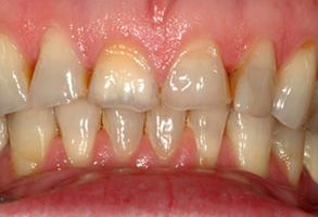
Before

Marc H Berley, DMD | Dentures, Veneers and Root Canals

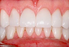
After

Marc H Berley, DMD | Extractions, Invisalign reg  and Preventative Program

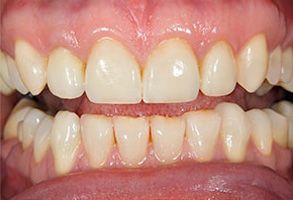
Before

Marc H Berley, DMD | Periodontal Treatment, Dental Fillings and Dental Bridges

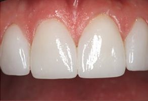
After

Marc H Berley, DMD | Implant Dentistry, Oral Exams and Veneers

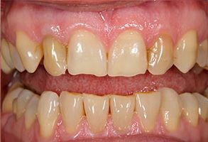
Before

Marc H Berley, DMD | Extractions, Dental Fillings and Preventative Program

After

Marc H Berley, DMD | Crowns  amp  Caps, Periodontal Treatment and Dental Fillings

Before

Marc H Berley, DMD | Teeth Whitening, Dentures and Periodontal Treatment

After

Marc H Berley, DMD | Dental Fillings, Extractions and Preventative Program

Before

Marc H Berley, DMD | Veneers, Implant Dentistry and Root Canals

After

Marc H Berley, DMD | Crowns  amp  Caps, Invisalign reg  and Dental Fillings

Before

Marc H Berley, DMD | Dentures, Preventative Program and Implant Dentistry

After

Marc H Berley, DMD | Crowns  amp  Caps, Preventative Program and Periodontal Treatment

Before

Marc H Berley, DMD | Crowns  amp  Caps, Invisalign reg  and Preventative Program

After

Schedule a visit today!
Contact Us
Submit

Thank You!

We appreciate you taking the time to visit our site. We'll review your message and be in touch with you soon.

Continue
Dentist in Ocean NJ